Yellow Teeth | మీ.. పల్లు పచ్చగా ఉన్నాయా! ఇలా చేయండి

Yellow Teeth |
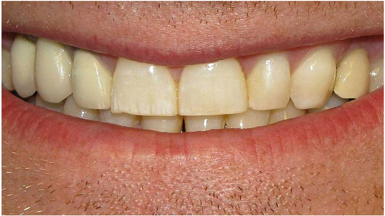
శరీరంలోని అన్ని అవయవాలు ముఖ్యమే. ఏ ఒక్కటి నిర్లక్ష్యం చేసినా దాని ప్రభావం తప్పకుండా కనిపిస్తుంది. అలాగే, దంతాలు కూడా వ్యక్తిత్వాన్ని, ఆరోగ్యాన్ని గణనీయంగా ప్రభావితం చేస్తాయి. ఎవరితోనైనా సంభాషించేటప్పుడు లేదా నవ్వేటప్పుడు మొదట దంతాలే దృష్టిని ఆకర్షిస్తాయి. దంతాలు ఆరోగ్యంగా ఉంటేనే ఆహారాన్ని సరిగ్గా తీసుకోగలం. ఆహారాన్ని బాగా నమిలి తినడం ద్వారా జీర్ణక్రియ సాఫీగా జరుగుతుంది. అందుకే దంతాలను ఎల్లప్పుడూ ఆరోగ్యంగా ఉంచుకోవడం అవసరం. దంతాలు మెరిసేలా ఉంటే చూడటానికి ఆకర్షణీయంగా ఉంటాయి. అయితే, కొందరి దంతాలపై పసుపు లేదా పచ్చని పొర ఏర్పడుతుంది, ఇది వ్యక్తిత్వంతో పాటు ఆరోగ్యంపై కూడా ప్రతికూల ప్రభావం చూపిస్తుంది. దంతాలు పచ్చగా కనిపిస్తే, ఇతరులతో మాట్లాడేటప్పుడు లేదా నవ్వేటప్పుడు అసౌకర్యం కలుగుతుంది. అయినప్పటికీ, కొన్ని సహజ ఇంటి చిట్కాలతో దంతాలపై పచ్చని పొరను తొలగించి, వాటిని మిలమిలా మెరిసేలా చేయవచ్చు. ఆ చిట్కాలు ఏమిటో ఇప్పుడు తెలుసుకుందాం.
ఉప్పు, ఆవనూనె
ఉప్పు, ఆవనూనె కలిస్తే దంతాలపై పసుపు పొరను తొలగించడంలో సహాయపడతాయి. ఒక టీస్పూన్ ఉప్పును కొద్దిగా ఆవనూనెతో కలిపి పేస్ట్లా తయారు చేయాలి. ఈ పేస్ట్ను దంతాలపై జాగ్రత్తగా రుద్దాలి. రోజూ ఇలా చేయడం ద్వారా దంతాలు పచ్చని రంగు నుండి తెల్లగా మెరిసేలా మారతాయి.
కొబ్బరి నూనె / నువ్వుల నూనె
దంతాల శుభ్రత కోసం నూనె ఉపయోగించడం ఒక సాంప్రదాయ ఆయుర్వేద పద్ధతి. కొబ్బరి నూనె లేదా నువ్వుల నూనెను నోటిలో 10 నుండి 15 నిమిషాల పాటు ఉంచి, తర్వాత ఉమ్మివేయాలి. ఈ విధానం దంతాలపై పేరుకుపోయిన మురికిని, మరకలను తొలగించడంలో సహాయపడుతుంది.
బేకింగ్ సోడా
బేకింగ్ సోడా దంతాలను తెల్లగా మెరిసేలా చేయడానికి ఉపయోగపడుతుంది. దీనిని నీటితో లేదా టూత్పేస్ట్తో కలిపి పేస్ట్లా తయారు చేసి, దంతాలను బ్రష్ చేయాలి. ఇలా చేయడం వల్ల దంతాలపై ఉన్న పసుపు పొర క్రమంగా తొలగిపోతుంది.
ఆపిల్ సైడర్ వెనిగర్
ఆపిల్ సైడర్ వెనిగర్ను అతి తక్కువ మోతాదులో ఉపయోగించి దంతాలపై పసుపు పొరను తొలగించవచ్చు. అయితే, దీనిని అతిగా వాడకూడదు, ఎందుకంటే యాసిడ్ ఎక్కువగా ఉపయోగిస్తే దంతాలు సున్నితమవ్వచ్చు.
పండ్ల తొక్కలు
కొన్ని పండ్ల తొక్కలు దంతాల శుభ్రతకు తోడ్పడతాయి. నిమ్మ, నారింజ, అరటిపండు తొక్కలతో దంతాలను రుద్దడం ద్వారా పసుపు పొరను తొలగించవచ్చు. అయితే, ఈ పద్ధతికి శాస్త్రీయ ఆధారాలు పరిమితంగా ఉన్నప్పటికీ, సంయమనంతో ఉపయోగిస్తే దంతాలను మెరిసేలా చేయడంలో సహాయపడవచ్చు.